Your perfect smile, your way — explore the braces and aligners that fit your lifestyle.
At Liverpool Orthodontics, we understand that every smile is unique. That’s why we offer a range of modern orthodontic options designed for different ages, preferences, and treatment goals. Whether you’re looking for the most discreet solution or the most efficient one, our specialist orthodontists will help you find the best fit.
- Clear & discreet options
- Fast, efficient and precise tooth movement
- Customised treatment plans for all ages
Our Range of Braces
We offer several types of braces and aligners, all designed with comfort, aesthetics, and effectiveness in mind. Your orthodontist will recommend the best option based on your bite, age, and lifestyle.
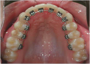
Metal Braces (Traditional Braces)
Still the most popular and effective orthodontic option.
Today’s metal braces are smaller, smoother, and more comfortable than ever before.
Best for: Patients of all ages who want the most efficient treatment.
Benefits:
- High precision and control for complex cases
- Faster movement compared to older designs
- Durable and cost-effective
- Option for coloured bands (great for kids and teens!)
Modern metal braces aren’t what they used to be — they’re sleek, comfortable, and reliable.
Ceramic (Tooth-Coloured) Braces
The discreet fixed-brace option.
Ceramic braces work just like metal braces, but use clear or tooth-coloured brackets for a more aesthetic look.
Best for: Adults and older teens seeking subtlety without compromising precision.
Benefits:
- Blend naturally with your teeth
- Ideal for professional or social settings
- Same effectiveness as metal braces
- Smooth and comfortable to wear
Get the power of braces without the metallic look.
Lingual Braces (Behind the Teeth)
Completely hidden, fully customised treatment.
Lingual braces are placed behind your teeth, making them invisible when you smile. Each bracket is custom-made to fit the inner surfaces of your teeth.
Best for: Adults and professionals who want a truly invisible option.
Benefits:
- 100% hidden from view
- Effective for mild to complex cases
- Custom-fit brackets designed using 3D digital scans
The most discreet fixed-brace option available.
Clear Aligners (Invisalign® and Similar Systems)
Removable. Comfortable. Virtually invisible.
Clear aligners use a series of transparent trays to gradually move your teeth into place — no brackets or wires required.
Best for: Adults and teens seeking maximum flexibility and aesthetics.
Benefits:
- Nearly invisible
- Removable for eating and cleaning
- Easy maintenance and hygiene
- Smooth, comfortable fit
- Digital 3D planning for predictable results
Perfect for busy lifestyles and those who prefer subtle, removable orthodontics.
Choosing the Right Option
At Liverpool Orthodontics, your treatment plan starts with a detailed assessment and discussion of your goals.
We’ll explain the pros and cons of each option, including cost, comfort, and treatment time, so you can make an informed decision.
We’ll consider:
- The complexity of your case
- Your aesthetic preferences
- Your lifestyle and maintenance habits
- Budget and health fund options
Every smile is different — your braces should be too.
Meet Your Orthodontists

Dr Eva Low
Specialist Orthodontist with expertise in aesthetic and lingual treatments.

Dr Priyanka Ponna
Specialist Orthodontist known for her gentle approach and attention to smile detail.
Frequently Asked Questions (FAQs)
Which braces work fastest?
Metal and self-ligating braces often deliver faster results, especially for complex cases.
Are clear aligners as effective as braces?
Yes, for mild to moderate cases. Complex cases may need fixed braces for greater control.
Do braces hurt?
You may feel mild discomfort for a few days after adjustments, but it’s temporary and manageable.
Can adults wear braces?
Absolutely — we treat patients of all ages, from teens to retirees.
Will braces affect my speech?
A short adjustment period is normal, especially for lingual or aligner systems.
Start Your Smile Journey Today
Ready to discover the best orthodontic option for your smile?
Book your free consultation today and let our orthodontists design the perfect treatment plan for you.
